薄片作製・偏光顕微鏡観察,重鉱物分析
(1)岩石・コンクリート・未固結試料の薄片・研磨片作製
- 岩石・未固結堆積物、コンクリート等の人工物をわずか0.03mmまで研磨。
- 粘土質な岩石には油を使用するなど、試料の種類ごとに最適な研磨方法を選定。
- 反射顕微鏡観察、電子線マイクロアナライザ(EPMA)用は岩石表面を鏡面研磨。
(2)偏光顕微鏡観察
- 偏光顕微鏡観察(透過・反射)は、地質を理解するうえで欠くことのできない素晴らしい伝統技術。肉眼では見えず、電子顕微鏡では拡大し過ぎてよくわからない・・・・・。
(3)重鉱物分析
- 岩石・未固結堆積物全体には少ないが、微量でも入っていれば重要な重鉱物を濃集させて調べる。
X線粉末回折
- 標準鉱物回折データにもとづいたX線照射粉末鉱物の鉱物種判定や半定量分析。
- 不定方位法を利用した粉末試料の複数種鉱物の判定や各回折線の強度測定・比較。
- 定方位法を利用した粘土鉱物の特徴的な回折線の測定・比較による鉱物種判定。
土木・環境地質では吸水膨張性のあるスメクタイト(モンモリロナイト鉱物)に着目した分析が多いです。
最近では地熱調査(踏査,ボーリング)に伴う試料に不可欠の分析として活躍しています。
偏光顕微鏡観察では微細でよくわからなくても、一定の量が含まれる場合はX線粉末回折で判定できることが多いです。
化学分析(蛍光X線分析など)
当社の蛍光X線分析装置(日本電子製JSX-3100RⅡ:エネルギー分散型,液体窒素レスタイプ)は、固体や液体の化学分析を行う装置で、例えば以下のような分析に力を発揮します。
- 岩石や土壌の一般的な化学組成を知りたい。
- 岩石・土壌・液体中の有害な重金属その他の含有量を知りたい。(例えば砒素の検出限界は、鉛の共存が無視できる場合6ppm.)
- 石器,玉類,土器などの考古遺物や宝石類などを非破壊で分析したい。
- コンクリートのアルカリ骨材反応に係わる生成物の組成を知りたい。
- 化学組成に基づいて、河川や海の堆積物の供給源を推定したい。
分析方法は分析目的や試料の状態に応じて、検量線法あるいは、バルクFP法(FP法:ファンダメンタルパラメータ法)で分析します。
試料は、1)粉末状態に調整しそのまま分析する(迅速かつ多数分析)か、プレスして分析する(微量元素を検出限界までとらえる),2)そのまま非破壊で分析する(迅速に分析する必要,破壊できない遺物など)等の方法があります。
また、CCDカメラで試料を観察し、コリメータにより微小領域(最小直径1mm)の分析が可能です。
(その他の方法による全岩化学分析や、EDS点分析なども承りますので、ご相談ください)
検出元素範囲:Na~U
X線発生装置:5~50KV,1mA,50W
ターゲット :Rh コリメータ:1/3/7mmφ
フィルタ :4種(含オープン)
検 出 器 :液体窒素レス Si(Li)半導体検出器
大型試料室 :直径300mm×150mm(H)の円柱状
試料室雰囲気:大気・真空 CCDカメラ
微化石(花粉・珪藻)分析
- 花粉分析では気候など古環境を推定。
→遺跡調査,更新世~完新世の気候変動解析。テフラや炭質物の年代測定と合わせて解析することが多い。 - 珪藻分析は年代と古環境を推定。淡水生,汽水生,海生の各種があるので、津波堆積物の解析にも使われる。
コンクリートの劣化分析
- アルカリシリカ反応、凍結融解、中性化等によるコンクリート劣化原因の特定。
- 肉眼、偏光顕微鏡観察等の複数の方法を用いた劣化判定。
- ゲル状物質はアルカリシリカゲルとは限らない→EPMA点分析による化学組成分析。
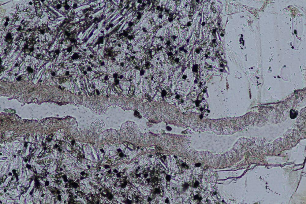
コンクリートの劣化メカニズムのひとつ、アルカリシリカ反応(ASR)
【アルカリシリカ反応(ASR)】コンクリートは、セメント中のアルカリ(ナトリウム:Na、カリウム:K)が溶けることにより強アルカリ性(pH=13程度)になっています。シリカ鉱物(例えば微晶石英、クリストバライト、トリディマイトなどの主に二酸化ケイ素からなる鉱物)のような反応性鉱物(有害鉱物)を含む骨材と、コンクリート中のアルカリ性溶液とが反応して、コンクリートに異常な膨張やそれに伴うひび割れが発生することがあります。この現象は「アルカリシリカ反応(ASR)」と呼ばれています。ASRの結果としてゲル状物質であるアルカリシリカゲルが生成すると考えられています。反応性鉱物はシリカ鉱物のほか、火山ガラスなどが知られています。観察の際は、既にASRが起こっているか、今後の反応の進行の可能性(反応性鉱物の有無)に着目して観察を行います。
クロスニコル.横幅約0.6mm.(コンクリート分野ではゾル化した非晶質のゲルも、結晶化したゲルも便宜上「ゲル」と呼んでいます)
その他(肉眼鑑定・火山灰分析・年代測定等)
- 肉眼鑑定ではルーペと実体顕微鏡を併用し、ボーリングのカッティングスやコアの観察,遺跡の石材鑑定,薄片を作製する時間が無い時の急ぎの要望などに応えています。
- 火山灰分析は、火山ガラスや苦鉄質鉱物の屈折率測定・モード測定や、火山ガラス等のEDS分析を行うことにより、どの火山から飛んできた火山灰かがわかります。
- 各種年代測定では、火山噴出物や熱水変質の年代,堆積物の年代,断層の評価,考古遺物年代を調べるルミネッセンス年代測定や、フィッショントラック年代測定,炭素14法年代測定等、目的に応じて方法をご紹介します。
(上記の分析は一部研究機関や分析会社等への外注になります)

